Veneers & Cosmetic Dentistry
-
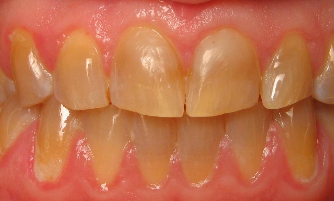
Before
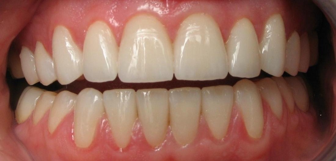
After
Improve your smile today – call to schedule a consultation!
Claim Now!
- CEREC Crowns
- Cosmetic Dentistry
- Digital X-rays
- TMJ Therapy
Read More »
| Monday: | 7am-3:30pm |
| Tuesday: | 7am-3:30pm |
| Wednesday: | 7am-3:30pm |
| Thursday: | 7am-3:30pm |
Emergencies Seen Promptly
Making an appointment at our office is quick and easy. We look forward to meeting you and your family!
Read More »